Telefone 222 086 062 (chamada rede fixa)
Telemóvel 917 085 958 (chamada rede móvel)
Rua de Camões, 218, 2.º sala 3 - 4000-138 Porto
Horário
Seg-Ter-Qui: 8:00 - 12:00 / 13:00 - 18:00
Ter-Sex: 8:00 - 12:00
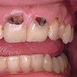
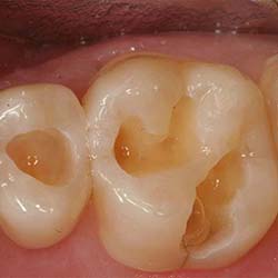
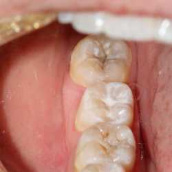
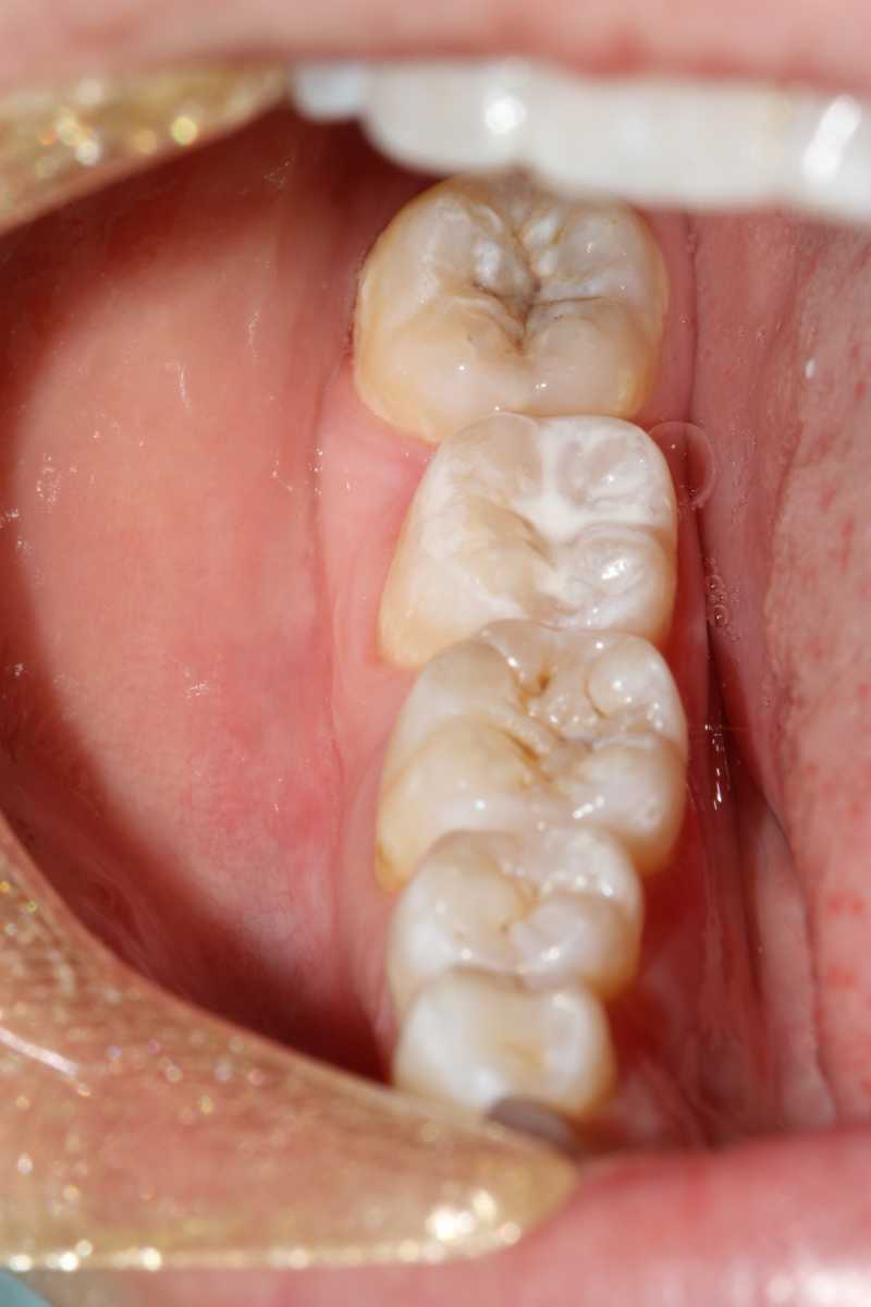
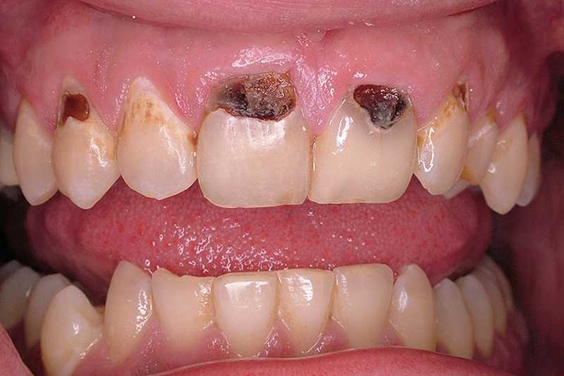
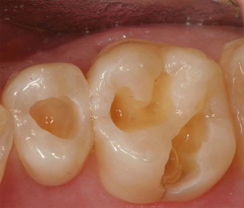
Inicio Especialidades Dentisteria